
Hydrocephalus
Hydrocephalus was once called “water on the brain”. The term comes from two Greek words: “hydro” meaning water and “cephalus” meaning head. Very simply put, hydrocephalus where extra fluid builds up inside the head. Except, the fluid is not actually water, it is cerebrospinal fluid (CSF). CSF is a clear fluid. It surrounds the brain and the spinal cord.
Inside the brain are spaces which are called ventricles. When CSF accumulates, it causes those spaces (ventricles) to become abnormally large. That enlargement of the ventricles can possibly cause harmful pressure on the tissues of the brain.
Typically, large ventricles are a sign of hydrocephalus.
The ventricular system
There are four of ventricles that make up the ventricular system. They are connected by narrow passages. Imagine it as a house with four large rooms all connected by narrow hallways.
The CSF flows through the ventricles then exits at the base of the brain. From there it bathes the surface of the brain and the spinal cord. It is eventually reabsorbed into the bloodstream.
The importance of cerebrospinal fluid (CSF)
It acts as a cushion, protecting the brain from trauma
It delivers nutrients to the brain and takes away waste products
It helps to make up the difference for changes in the amount of blood in the brain
Production and Absorption of CSF
CSF is continually produced. That is why it is so important that nothing blocks the ability of the CSF to be absorbed. If the flow is blocked, the CSF cannot be absorbed, and it will result in an over-accumulation of fluid (hydrocephalus).
Congenital vs Acquired Hydrocephalus
When someone has congenital hydrocephalus, it means that it is present at birth. Congenital hydrocephalus may be caused either during fetal development or because of genetic abnormalities.
When hydrocephalus is acquired, it developed at the time of birth or after. Acquired hydrocephalus can affect people of any age and may be caused by disease or injury.
Communicating and Non-Communicating Hydrocephalus
When CSF is able to flow between the ventricles, but is then blocked after it exits the ventricles, it is known as communicating hydrocephalus. Think of it as the spaces in the brain being able to communicate with each other.
Sometimes, the flow of cerebrospinal fluid is blocked along one of the narrow passages (remember the hallways in the house!) connecting the ventricles. When this happens, it is called non-communicating, or obstructive, hydrocephalus. One of most common causes of hydrocephalus is “aqueductal stenosis”. This happens when the small passage (the aqueduct of Sylvius) between the third and fourth ventricles becomes narrow.
Benign External Hydrocephalus
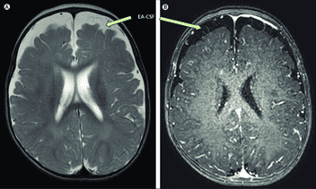
Benign external hydrocephalus (BEH) is defined by rapid increase in head circumference in infancy, with neuroimaging evidence of enlarged cerebrospinal fluid (CSF) spaces. BEH was postulated to predispose to subdural hematoma, neurocognitive impairments, and autism. Benign external hydrocephalus in infants, characterized by macrocephaly and typical neuroimaging findings, is considered as a self-limiting condition and is therefore rarely treated.
Benign enlargement of the subarachnoid spaces in infancy (BESS or BESSI) also known as benign external hydrocephalus (BEH) is, as per the name, a benign enlargement of the subarachnoid spaces in infants. It usually involves the frontal lobe subarachnoid spaces, and it is characterized clinically by macrocephaly or frontal bossing. The cause is not clear. It has been described as a variation of normal development of the brain, whereby there is a temporary accumulation of cerebrospinal fluid (CSF) in the frontal region.
It is also thought to be due to the delayed development or delayed function of the arachnoid villi at the sagittal sinus. Most children outgrow this condition and do not need a shunt or any other surgery to treat the hydrocephalus.

1. Zahl SM, Egge A, Helseth E, Wester K. Benign external hydrocephalus: a review, with emphasis on management. Neurosurg Rev. 2011 Oct;34(4):417-32. doi: 10.1007/s10143-011-0327-4. Epub 2011 Jun 7. PMID: 21647596; PMCID: PMC3171652.
Possible Causes of Hydrocephalus
- Genetic abnormalities or defects may result
- Developmental disorders such as spina bifida
- Complications from premature birth such as intraventricular hemorrhage (bleeding within the ventricles)
- Diseases such as meningitis
- Tumors
- Traumatic Brain Injury
- Subarachnoid hemorrhage (bleeding into the space surrounding the brain)
Symptoms of Hydrocephalus
Symptoms of hydrocephalus can vary significantly. It is important to remember that they can be different from person to person. However, there are some typical symptoms that are often seen with hydrocephalus.
When an infant has hydrocephalus, one of the most obvious signs is when their head size rapidly increases. They will typically have a large head size. This is because the sutures of the skull have not yet closed. Babies may also be irritable, experience vomiting, and excessive sleepiness. Also, they may have abnormal eye movements, such as an eye turning in or out. Or their eyes may appear driven downward with the whites of their eyes being very noticeable between the iris and the eye lid. This is called “sunsetting” and many times the baby will look as if they are surprised. Another symptom of hydrocephalus is seizures.
Older children and adults may experience headaches, nausea, vomiting, swelling of the optic disk (this is called papilledema and can be seen during an eye exam), and blurry or double vision. Also, there may be problems with balance and coordination, changes in the way they walk. Developmental milestones may slow down or may be lost. Other symptoms include lethargy, drowsiness, irritability, changes in personality and changes in cognition. There may even be memory loss.
Symptoms of Normal Pressure Hydrocephalus
Normal pressure hydrocephalus typically affects adults over the age of 60. The symptoms of normal pressure hydrocephalus include problems with walking, issues with bladder control such as urinary incontinence and frequency, and mental impairment with confusion and forgetfulness. It’s important to note that these symptoms are very similar to other conditions such as Alzheimer’s disease and Parkinson’s disease, so normal pressure hydrocephalus is sometimes misdiagnosed.
Diagnosing Hydrocephalus
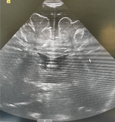
The first step in diagnosing hydrocephalus is often a through a clinical neurological evaluation. If the clinician suspects hydrocephalus, they will usually order imaging of the brain. The imaging may be an ultrasound, an MRI, or a CT scan. The physician may also decide to use a pressure monitoring technique such as placement of an ICP (intracranial pressure) monitor.
Treating Hydrocephalus
The most common treatment for hydrocephalus is placement of a shunt. This is done through a surgical procedure. The purpose of a shunt is to redirect the CSF to another part of the body where it can be absorbed.
A shunt is a flexible plastic tube. The shunt system also has a valve. One end of the tube (catheter) is placed within the ventricle inside the brain and the other end is placed in the area of the body where the CSF will be absorbed. Most often, the end of the catheter is in the abdomen, but sometimes it can be in other areas such as in a chamber of the heart or in the area around the lungs. The valve is located along the catheter route and it maintains and regulates a one way flow of cerebrospinal fluid. The entire shunt system is located within the body. At no point will a part of the shunt be located outside of the skin.
There a different types of shunt valves. Some valves are called “fixed pressure valves” which means their setting stays constant and cannot be changed. Other valves are programmable valves. These valves can have their settings adjusted to allow more or less of the CSF fluid to drain. The setting is changed by using a special magnet.
Another surgical procedure used to treat hydrocephalus is called endoscopic third ventriculostomy or ETV. In this procedure, a small camera is used to visualize the ventricular surface. Then, a small tool is used to make a tiny hole in the floor of the third ventricle. That hole allows the CSF to bypass the area that is obstructed so it can flow to the reabsorbed. A limited number of patients can be treated with an ETV. There is an ETV success score scale which helps to determine which individuals are better candidates for the procedure.
Shunt Complications
It is important to have regular follow-up with your neurosurgeon as per their recommendations. During those visits, your surgeon can assess your neurological status and look for signs of the shunt not working properly.
Some possible complications are mechanical failure of the shunt valve, kinking or disconnection of the shunt tubing, obstruction of the tubing, the need to lengthen the tubing, and infection.
Sometimes the complications can cause other problems such as over-draining and under-draining. When the shunt “over-drains” it is allowing the CSF to drain at a rate faster than it is able to be produced.
When over-draining occurs, it can cause the ventricles to collapse which can cause headaches, bleeding (subdural hematoma), or slit-like ventricles (call slit ventricle syndrome).
If the shunt does not allow the CSF to drain properly (under-draining), the hydrocephalus symptoms return.
One other possible shunt complication is infection. Sometimes, when the shunt system is infected, there may be redness and tenderness over the area of the shunt tubing. Other symptoms of a shunt infection are fever and soreness of the neck and shoulder muscles.
Above all, it is important to seek immediate medical attention any time you suspect the shunt may not be working properly.
Outcome and Prognosis:
Timely diagnosis and treatment of hydrocephalus is very important for a successful outcome.
Some children with hydrocephalus may require an interdisciplinary approach for their care, combining treatment from medical professionals as well as educational specialists. Many children who are diagnosed with hydrocephalus go on to lead very normal lives with relatively few limitations.
The same is true for individuals with normal pressure hydrocephalus. If left untreated, the symptoms of NPH usually worsen over time. Prompt diagnosis and treatment improves the chance of a positive outcome and good recovery.
Seeing specialists at a Hydrocephalus Center is so important. These board-certified neurosurgeons, neurologists and team members know what kind of care your child needs. They will make sure your child sees the pediatric ophthalmologists, and other specialists and gets the right imaging studies, without exposing your child to dangerous radiation. Do not be afraid. Speak to your team of experts. Call 973-326-9000 with any questions or concerns.
Additional Resources:
There are a number of places that have additional information about hydrocephalus. Here are a few you may find helpful:
National Hydrocephalus Foundation: www.nhfonline.org
Hydrocephalus Association: https://www.hydroassoc.org/
Journal of Neurosurgery: https://thejns.org/pediatrics/view/journals/j-neurosurg-pediatr/14/Supplement_1/j-neurosurg-pediatr.14.issue-Supplement_1.xml
Frequently Asked Questions
1. What are 4 types of hydrocephalus?
Answer: The four types of hydrocephalus are congenital, acquired, normal pressure, and communicating.
2. What age does hydrocephalus start?
Answer: Hydrocephalus can start at any age, from infancy to adulthood.
3. What is the danger of hydrocephalus?
Answer: The danger of hydrocephalus is increased intracranial pressure, which can lead to neurological damage and disability.
4. At what age is hydrocephalus diagnosed?
Answer: Hydrocephalus can be diagnosed at any age, but it is most commonly diagnosed in infancy.
5. Can hydrocephalus cause death?
Answer: Hydrocephalus can cause death, especially if left untreated.
6. How long can a person with hydrocephalus live?
Answer: The lifespan of a person with hydrocephalus depends on the severity of the condition and the amount of treatment they receive.
7. Can hydrocephalus cause sudden death?
Answer: Yes, hydrocephalus can cause sudden death, especially if left untreated.